Clinical Proof of Concept
Specifically designed to darken the bowel lumen, creating a high-contrast environment that makes vascularized tissues and tumors pop.
KEY BENEFITS
➜ Superior Anatomic Delineation
➜ Reduced Radiation Dose
➜ Improved Signal/Noise for AI
APPLICATIONS
Oncology Staging
Inflammatory Bowel Disease
MR Enterography
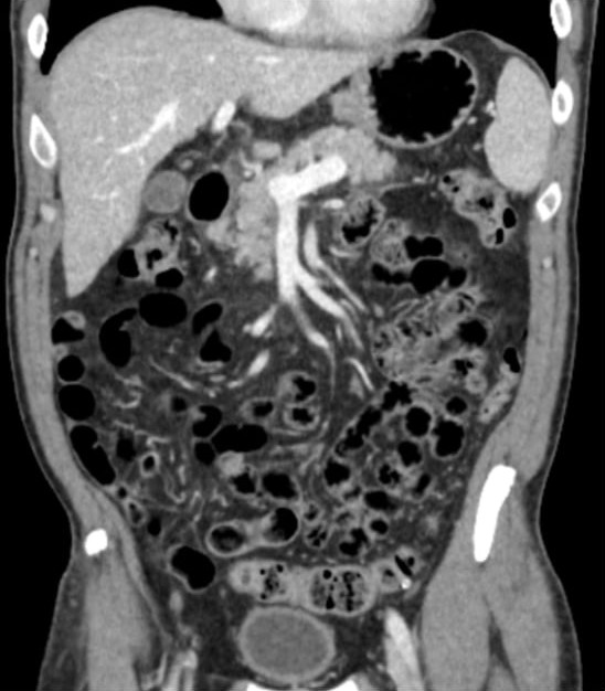
Clearly distinguishable anatomy
Conventional Positive
Oral Contrast
Similar shades of grey
IND Ready
A non-iodinated 'blood-pool' agent that remains in the vascular system for minutes, enabling unprecedented interrogation of blood vessels and the liver.
KEY BENEFITS
+ Extended Imaging Window
+ No Mixing Artifacts
+ High BMI Patient Solution
APPLICATIONS
Cardiovascular Disease
Trauma Triage
Liver Lesion Characterization
Vivid, prolonged, full-vascular enhancement
Conventional Iodine
Poor and inconsistent opacification with rapid washout
The Leadership Team
All information proprietary & confidential
Nextrast Inc ©2026








